RIB FRACTURE: way to prevent respiratory problems
RIB FRACTURE
What is a Rib Fracture?
A break or crack in one or more ribs, usually due to trauma that can leads to severe respiratory distress/ problem.
Rememberable point-
Problem is not the bone itself but breathing and lung injury.
Anatomy of Ribs

Rib Cage Function:
- Protects lungs and heart
- Assists breathing (moves up & down)
Relationship to Lungs:
- Ribs sit directly over lungs
- When fractured → can puncture lung → pneumothorax
Types of Rib Fractures


- Simple Rib Fracture-
- One rib broken
- No displacement
- Most common
- Multiple Rib Fractures-
- ≥ 2 ribs broken
- ↑ risk of lung injury
- Flail Chest-
- ≥ 3 consecutive ribs broken in ≥ 2 places
- Chest wall moves opposite during breathing
Causes of Rib Fracture
Common Causes
- Road traffic accidents
- Falls
- Direct blow to chest
- Sports injury
Non-Traumatic Causes
- Severe coughing
- Osteoporosis
- Metastatic cancer
Rememberable point-
Elderly – higher risk due to brittle bones.
Pathophysiology
Rib breaks
⬇️
Severe pain
⬇️
Patient avoids deep breathing
⬇️
Shallow breathing
⬇️
Retained secretions
⬇️
Atelectasis / pneumonia
Rememberable point-
Pain – shallow breathing – lung complications
Signs and Symptoms
Local Symptoms
- Sharp chest pain (worse with breathing)
- Tenderness
- Swelling / bruising
- Crepitus (crackling feeling)
Respiratory Symptoms
- Shallow breathing
- Shortness of breath
- Decreased chest expansion
Red Flag Symptoms
Suggest lung injury:
- Cyanosis
- Hemoptysis
- Tracheal deviation
- ↓ Breath sounds
Diagnosis
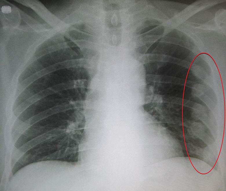
1. Chest X-ray
- Confirms fracture
- Detects pneumothorax
2. CT Scan
- Best for multiple fractures
- Used in trauma cases
3. ABG / Pulse Oximetry
- Checks oxygenation
Rememberable point- Pain may exist even if X-ray is normal.
Medical Management
1. Pain Management (PRIORITY)
- NSAIDs
- Opioids (careful monitoring)
- Intercostal nerve block
Rememberable point- Allows deep breathing → prevents pneumonia
2. Oxygen Therapy
- If SpO₂ is low
3. Incentive Spirometry
- Prevents atelectasis
- Encouraged every 1–2 hours
Surgical Management
Indications:
- Flail chest
- Severe displacement
- Lung injury
Procedures:
- Rib fixation
- Mechanical ventilation (severe cases)
Dietary Management
Goals:
- Promote healing
- Maintain strength
Diet:
- High protein → tissue repair
- Calcium + Vitamin D
- Adequate fluids
Nursing Care Plan (NCP) –
NCP 1: Acute Pain
Related to: Rib fracture
Evidenced by: Chest pain, guarding
Goals:
- Pain score ≤ 3
- Able to breathe deeply
Nursing Interventions & Rationale:
- Assess pain regularly
- Guides treatment effectiveness
- Administer analgesics as prescribed
- Evidence: Adequate pain relief improves ventilation
- Teach splinting during coughing
- Reduces pain & supports ribs
NCP 2: Ineffective Breathing Pattern
Related to: Pain and chest wall injury
Evidenced by: Shallow breathing, dyspnea
Interventions:
- Position in semi-Fowler’s
- Encourage deep breathing
- Incentive spirometry
NCP 3: Risk for Impaired Gas Exchange
Related to: Hypoventilation
Interventions:
- Monitor SpO₂
- Assess breath sounds
- Observe for pneumothorax signs
NCP 4: Risk for Pneumonia
Related to: Retained secretions
Interventions:
- Early mobilization
- Cough & deep breathing exercises
- Adequate hydration
Special Focus: Flail Chest
Signs:
- Paradoxical chest movement
- Severe respiratory distress
Nursing Priorities:
- Maintain airway
- Oxygen therapy
- Pain control
- Prepare for ventilation if needed
Rememberable point-
Flail chest = life-threatening respiratory emergency
Nursing management:
- Pain control = top priority
- Encourage deep breathing despite pain
- Watch for pneumothorax
- Elderly at higher risk
- Never bind chest tightly
